|
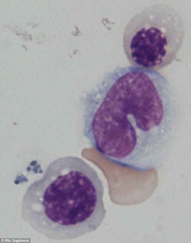
多能干细胞具有胚胎干细胞的相同性能,可用于制造许多类型组织,其中包括:神经细胞和心脏细胞。 新浪科技讯 北京5月26日消息,据国外媒体报道,目前,科学家一项创新研究可基于患者皮肤细胞培育出血细胞,未来有望结束献血时代。 科学家首次使用胚胎干细胞培育制造人类血液细胞,胚胎干细胞有能力发育形成人体各种组织。他们使用老鼠作为活体细胞工厂,制造的血液干细胞可以生成4种类型的血液细胞。这意味着能够为患者完美订制匹配的血液类型,尤其是那些失去造血功能的白血病或者化疗患者。 波士顿儿童医院资深科学家乔治·戴利(George Daley)博士说:“令人欣慰的是,我们即将能在器皿中培育出良性人类造血干细胞。”这项最新研究发表在《自然》杂志上,有望研制血液疾病的个性化治疗,同时可以缓解短缺的捐献血液。 自从1998年科学家能够分离出胚胎干细胞,研究人员就很少成功使用胚胎干细胞制造形成血液的造血干细胞(HSCs)。2007年,科学家通过基因重编利用人类皮肤首次制造诱导多能性干细胞(iPS),它们与胚胎干细胞具有相似的性能,能够用于生成许多身体组织类型,其中包括:神经细胞和心脏细胞。然而造血干细胞仍具有一定神秘感。 波士顿儿童医院的研究小组开始研究胚胎干细胞和诱导多能性干细胞,并将它们暴露在化学信号中,导致它们可以转变成为造血基因内皮细胞,这是一种早期胚胎组织,最终将形成造血干细胞。 科学家无法直接制造出造血干细胞,反而“接通”身体组织的造血能力之后,需要更多的基因设计,他们移植造血基因内皮细胞到老鼠体内。伴随着造血干细胞发育,最终血细胞在动物体内不断地成熟。 几周之后,科学家发现几只老鼠的骨髓和血管中携带着人类血细胞,他们对于诱导多能性干细胞(iPS)制造血细胞非常感兴趣,最重要的是这些细胞可源自患者皮肤。研究报告合著作者、波士顿儿童医院Ryohichi Sugimura博士说:“这项研究将开启从遗传血液疾病患者体内提取细胞,使用基因编辑纠正基因缺陷,并制造功能性血细胞。意味着我们可以从万能输血者体内提取细胞,无限地供给造血干细胞和血液,这将潜在增大输血患者的血液供给。” 《自然》杂志研究报告显示,另一支研究小组使用不同的技术成功地制造类似造血干细胞的老鼠细胞,该研究是由美国威尔康奈尔医学院沙欣·拉斐(Shahin Rafii)博士负责的,他转变细胞系血管成为免疫造血干细胞,移植在一层脐带组织之后成功完成发育。(叶倾城) |

手机版











